ブルーラジカル歯周病医療機器導入!
2025年12月より日本発!歯周病治療の最先端医療機器「ブルーラジカル」を導入
見えない細菌に挑む、青の最先端技術!
◆2025年12月1日より治療開始中!◆
歯周病と聞いても、「よく分からない」という方も多いかもしれません。
詳しい内容は当院の「歯周病の治療」でご説明させておりますが、実際にはなかなか治らず、お困りの方も多くいらっしゃるかと思います。
そこで当院では、そんな患者様を救うために日本発の最新医療機器 「ブルーラジカル」 を導入することにしました。
この機器を使うと、歯周病の原因菌を 99.99%除去 することが可能です。まさに“革命的”な治療法です。もちろん、毎日の歯磨きや定期的なメンテナンスも大切ですが、ブルーラジカルを組み合わせることで、外科手術をしなくても治療できるケースが増えます。
(※ただし、症状が重度の場合や医師の判断によっては外科的治療が必要となることもあります。)
ブルーラジカル治療は保険診療ではなく自費診療になりますが、繰り返し行うことで効果を持続できます。目安としては 半年~1年に1回程度 の、治療をおすすめいたします。
✔︎「口臭が気になる」
✔︎「歯磨きで血が出る、歯ぐきが腫れる」
✔︎「人前で笑うのに抵抗がある」
そんなお悩みをお持ちの方は、ぜひ一度ご相談ください。
きっとその効果を実感していただけるはずです。

ブルーラジカルとは…
ブルーラジカルP-01は、
3%の過酸化水素と405nmの青色レーザーを同時に照射し、
ヒドロキシルラジカルを発生させることで、
歯周ポケット内の細菌を99.99%殺菌する
最先端の歯周病治療器です。
重度の歯周病患者に対する新たな選択肢として、
全国の歯科医院で導入が進んでおります。外科処置を行わずに口腔細菌を殺菌し、
プラーク・歯石の除去を行うため、治療を短期間で完了することができます。
殺菌能力が高いため、再発防止にも効果的です。
※人体に影響もございません。
※重度で進行している場合は抜歯になる場合もございます。
✔︎ 歯周病を再発したくない
✔︎ インプラント周囲炎に悩んでいる
✔︎ できれば外科処置を避けたい
✔︎ メンテに時間をかけたくない
フジテレビ「めざまし8」で放送
開発者の菅野太郎(東北大学大学院教授)が解説を行いました(6月7日放送)
ブルーラジカル理事長解説
※論文を元に阿部ヒロ理事長自ら解説して頂きました。
“従来の治療との違い”
従来の治療法 | 超音波振動のみ

重度の歯周病になると口腔内細菌が存在する歯石の取り残しが増え、治癒が難しくなるので、外科処置を伴う場合があります。取り残した部分には、抗菌薬の投与といった副作用を伴う化学療法や抜歯になるケースもあります。

超音波振動 + ラジカル殺菌

過酸化水素とレーザー照射によるラジカル殺菌技術により、虫歯菌、歯周病を引き起こす口腔細菌を99.99%殺菌。歯石・プラークの除去および歯周ポケットの回復を行います。人体に影響はありません。
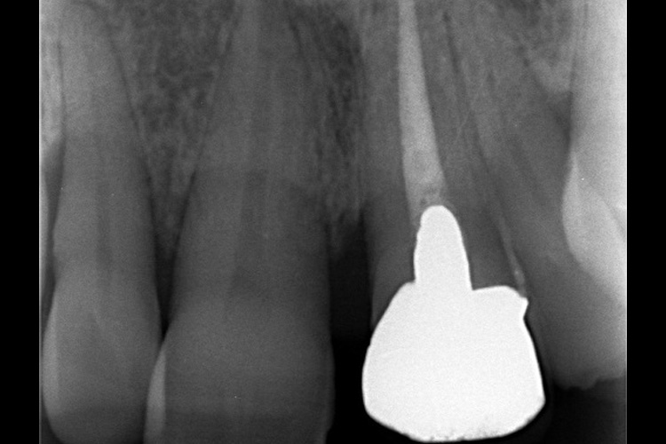
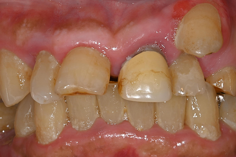
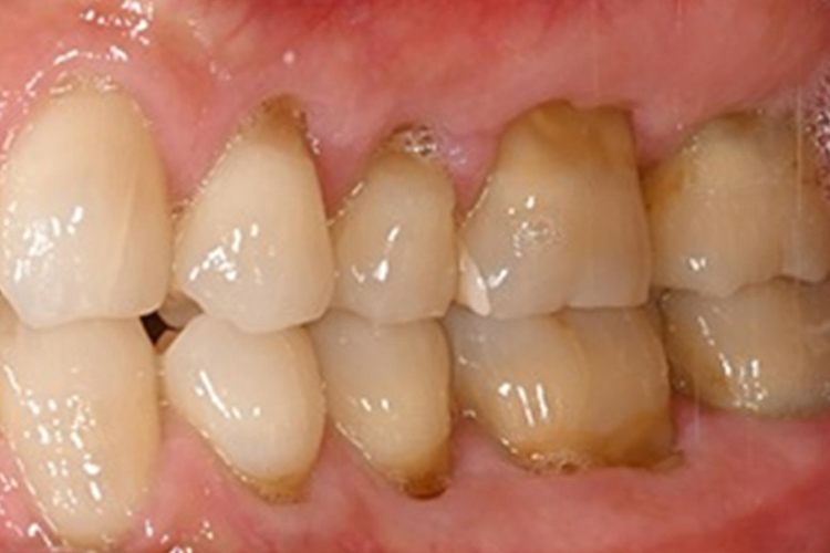
実際の実施例1
この患者様は、口腔内全体において重度の歯周病が生じており、歯磨き指導、クリーニング、Flap手術等を行ったが、歯周ポケットが深すぎるため、ブルーラジカル適用症例と診断し、施術を行いました。
(実施前)


施術前のレントゲンと口腔内写真です。施術前にプラークの除去を行ってから、施術します。
(施術風景)


深い歯周ポケットに青いレーザー光と過酸化水素水を照射し、患部を殺菌します。
(照射動画)
(実施直後)

※照射前と部位が異なりますが、照射直後は、歯茎が白くなります。これは、高い殺菌力が発揮され菌が死滅したことにより生じています。数日~1週間程度で消えます。
(照射後の患者様感想)
痛みは全くなく、気が付いたら終わっていました。また1週間程度経ったら、少しずつ歯茎が締まり出し、今まで腫れていた歯茎が正常に戻りだしたことを実感しています。
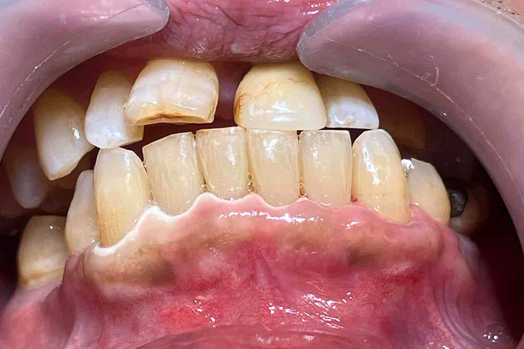
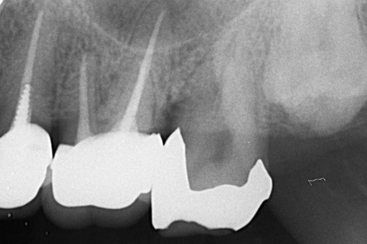
実際の実施例2
この患者様は、スケーリングより歯周ポケットが6mm以上ある患者様で患者様ご本人も歯周病になりかけている自覚がありました。また、口臭も気になされていましたので、ブルーラジカルの適用症例と判断し、施術を行いました。
(実施前)


施術前のレントゲンと口腔内写真です。施術前にプラークの除去を行ってから、施術します。
(施術風景)


深い歯周ポケットに青いレーザー光と過酸化水素水を照射し、患部を殺菌します。
(照射動画)
(感想動画)
料金について
部分処置&メンテナンス対応
◆2026年5月末までのご予約限定◆
●市場平均価格 25,000円
1歯 15,000円(+税)~
※施術時間 5歯以内は30分程度
※歯周病治療は患者様のプラークコントロールが重要です。
全顎的治療など他にも治療プランをご用意しております。
詳しくは、下記バナーから詳細を見て頂くか、直接お問い合わせください。
ご相談・ご予約は、下記よりお申込みください。
皆様のお申込みお待ちしております!






























